Gum Disease Treatment in Dubai
Restore Healthy Gums and Protect Your Smile at Manhal Medical Center
Healthy gums are the foundation of a beautiful smile. At Manhal Medical Center, we provide advanced gum disease treatment in Dubai to prevent, manage, and reverse gum infections before they affect your teeth and overall health.
Our specialized periodontists use gentle, evidence-based procedures to restore gum health and stop the progression of periodontal disease safely and effectively.
What Is Gum Disease?
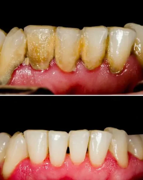
Gum disease, also known as periodontal disease, is an infection of the tissues that hold your teeth in place. It’s usually caused by poor oral hygiene that allows plaque and bacteria to build up.
According to the American Dental Association (ADA), untreated gum disease can lead to tooth loss and has been linked to systemic health problems such as heart disease and diabetes.
Symptoms of Gum Disease
Red, swollen, or bleeding gums
Bad breath or bad taste
Gum recession (teeth look longer)
Loose teeth or shifting bite
Sensitivity and pain while chewing
If you have any of these signs, schedule a check-up with our dental specialists in Dubai.
Scaling and Root Planing (Deep Cleaning)
Removes plaque and tartar from above and below the gum line to promote healing.
Laser Gum Treatment
Minimally invasive therapy that disinfects gum pockets and stimulates tissue regeneration.
Gum Surgery & Flap Procedures
For advanced cases — restores bone structure and gum alignment.
Maintenance and Follow-Up Care
Regular check-ups and cleanings to prevent recurrence.
Why Choose Manhal Medical Center?
Licensed periodontists and dental hygienists
State-of-the-art sterilization and laser technology
Comfortable, pain-free procedures
Personalized gum-health plans
Central Dubai location on Sheikh Zayed Road
We also provide teeth cleaning, teeth whitening, and dental implants to complete your smile care.
🪥 How to Prevent Gum Disease
Brush and floss twice daily
Schedule professional cleanings every 6 months
Stop smoking and reduce sugar intake
Use antibacterial mouthwash recommended by your dentist
For home-care advice, visit the World Health Organization – Oral Health.
📅 Book Your Gum Treatment in Dubai Today!
Don’t ignore bleeding gums — early treatment prevents serious complications.
📍 Location: Manhal Medical Center, Sheikh Zayed Road, Dubai
📞 Call: +971 4 32 84 560
✉️ Email: manhalmedical@gmail.com
🌐 www.manhalmedicalcenter.com

